Vor Ort: Sie finden uns in der 3. Etage links!

Kieferorthopädie 2

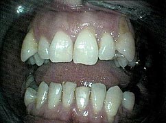
Alle Fotos und Dokumentationen stellen Beispiele unserer Arbeit dar.

VERANSCHAULICHUNGEN

Gaumenansicht bei einer 44-jährigen Patientin bei Platzmangel im Oberkiefer und Eckzahnaußenstand vor Behandlung:


Gaumenansicht nach Abschluss der Oberkieferbehandlung:


Ansicht der oberen Schneidezähne vor Behandlung:


Ansicht der oberen Schneidezähne nach Abschluss der Oberkieferbehandlung: