Vor Ort: Sie finden uns in der 3. Etage links!

Kieferorthopädie 7

Alle Fotos und Dokumentationen stellen Beispiele unserer Arbeit dar.

VERANSCHAULICHUNGEN

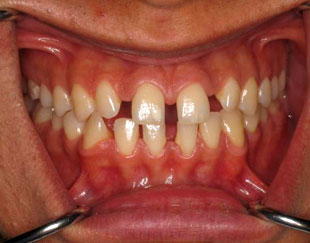
Bei diesem Patienten existierte ein Missverhältnis zwischen der Zahngröße und der Kiefergröße. Die Folge sind viele „Lücken“, vor allem im Bereich der oberen und unteren Schneidezähne:


Da der 22-jährige Patient zudem noch ein sogenanntes „Gummi-Smile“ hatte (beim Lachen sieht man viel Zahnfleisch), wirkten sich die Lücken besonders fatal aus:


Während der nur 4-monatigen Behandlung wurden die Zähne zunächst in die optimalen Positionen gebracht:


Die Zähne stehen nun an den optimalen Postitionen, die kleinen Restlücken wurden mit Kunststofffüllungen verschlossen: